首頁 新聞 健檢發現救回一命!26歲女心臟近乎衰竭 服藥10個月已痊癒
健檢發現救回一命!26歲女心臟近乎衰竭 服藥10個月已痊癒 員榮醫院心臟內科主任陳裕峰解說治療心臟衰竭的方法,除了服藥,還可使用非侵性的EECP進行治療。(員榮醫院提供)
一名26歲女子去年健檢時經由X光片發現心臟擴大,經門診就醫,發現左心室射出分率只有39%,已符合心臟衰竭定義。追查後,發現女子有甲狀腺家族病史,經按時服藥近10個月後,如今已痊癒。專家指出,除服藥外,心臟衰竭患者也能借由EECP(一種非侵入性的心血管輔助治療,又稱體外反搏治療)改善病情。
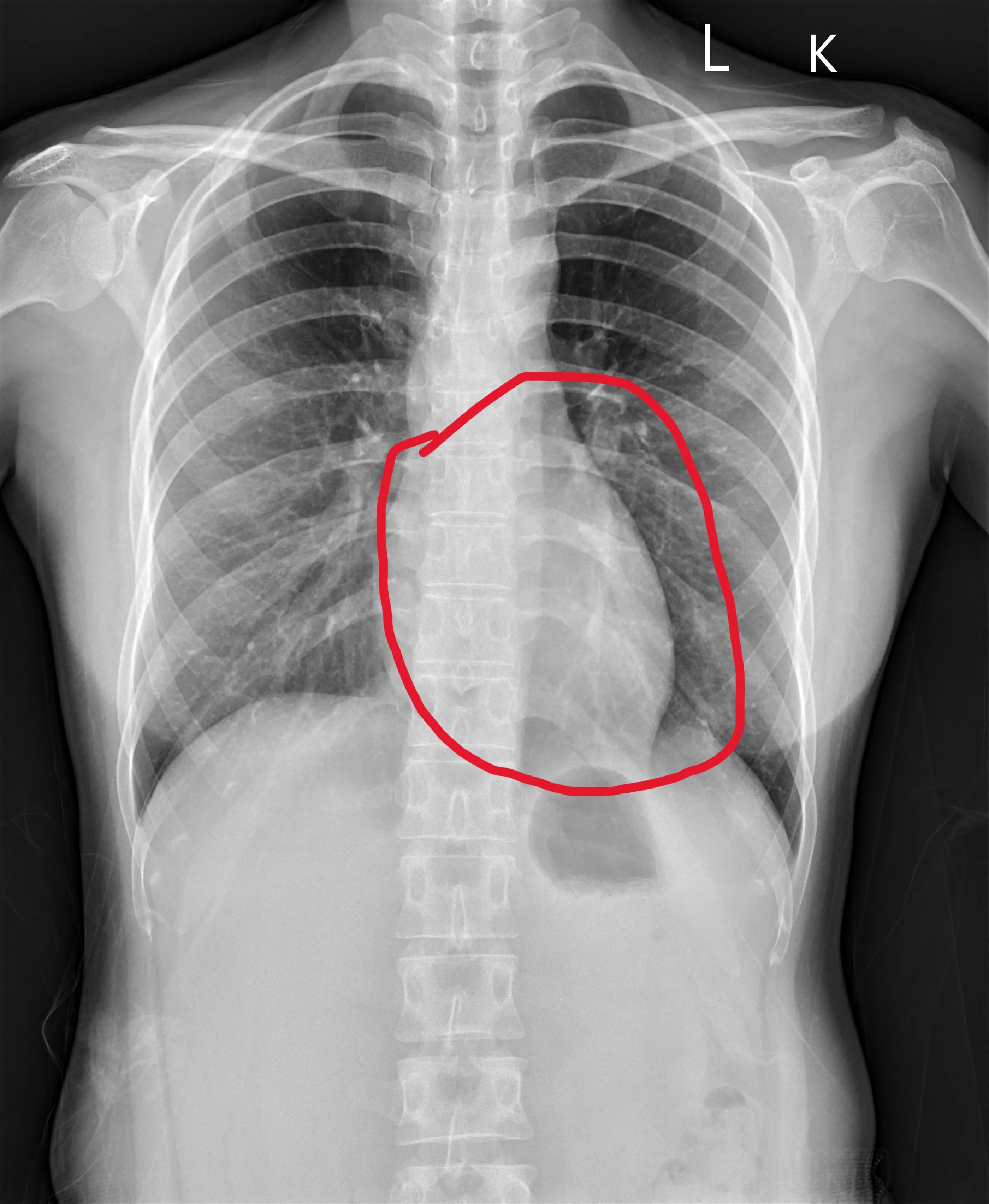
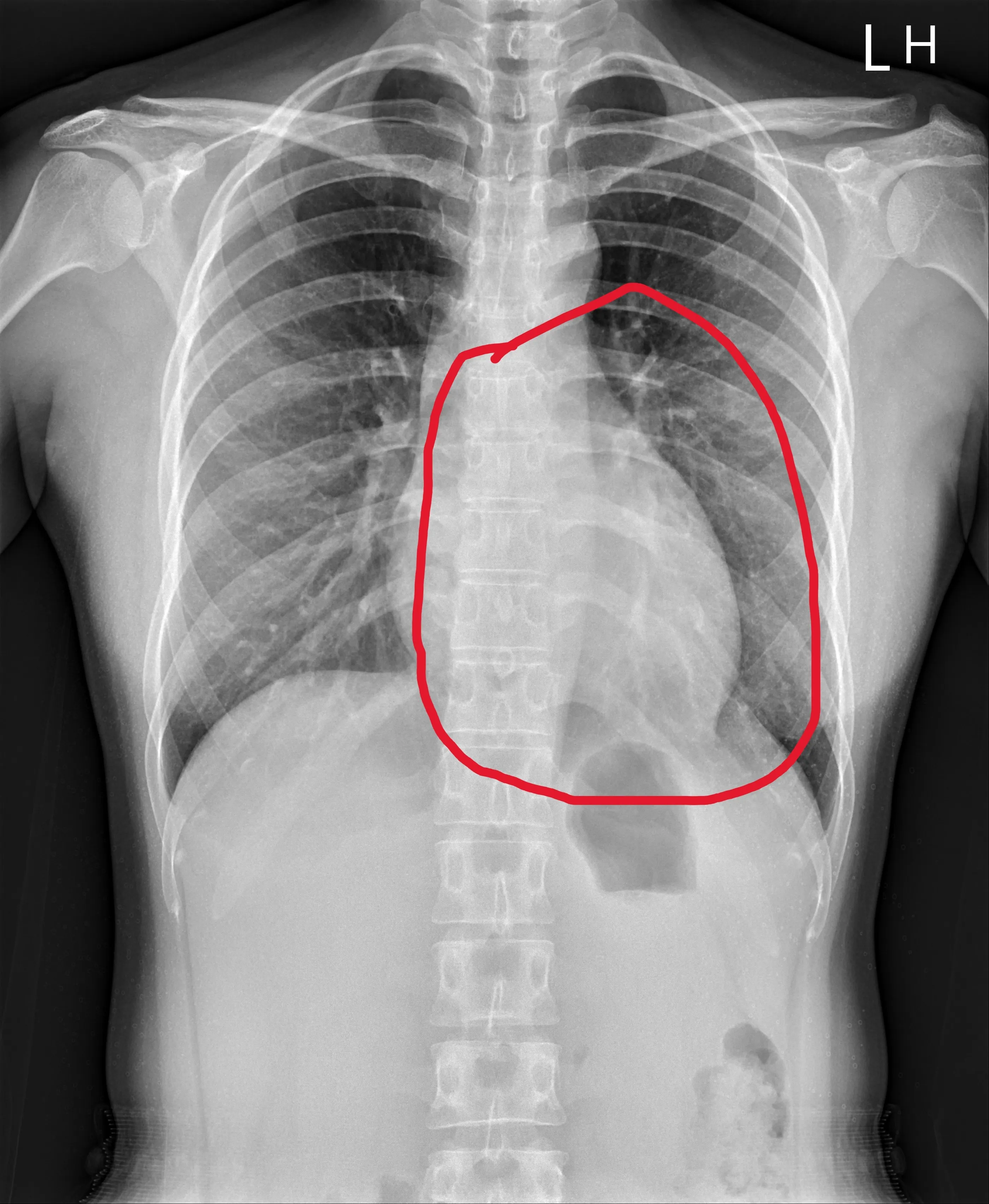
員榮醫療體系員榮醫院心臟內科主治醫師陳裕峰表示,患者就醫時並沒有喘或胸悶等典型症狀,但心臟收縮功能非常差,左心室射出分率只有39%,一般應該至少要50%以上,甚至60%以上才算正常,39%已符合心臟衰竭,心臟超音波發現瓣膜逆流比較嚴重。之後為患者制定一系列心臟衰竭標準治療,經10個月治療,心臟大小已恢復正常,左心室射出分率從原本的39%大幅進步到59%,接近正常值。
26歲患者去年7月就醫時,心臟( 紅線圈內)顯得較肥大。(員榮醫院提供)
26歲患者今年6月的X光,顯示經過10個月的治療,其心臟(紅圈內)已明顯縮小。(員榮醫院提供)
陳裕峰說,心臟衰竭患者常見症狀為喘,如活動後會喘,或者是躺下去的時候會喘,更嚴重的甚至連說話都會感到喘,有些腳會伴有水腫。這名患者很幸運拍個X光片就發現心臟擴大,隨即就醫。如果沒有治療,後續心臟功能持續惡化,甚至於常見所謂的心室頻脈,致命性的心律不整,嚴重的可能猝死。
陳裕峰指出,追查後,發現患者有甲狀腺症狀的家族史,甲狀腺功能亢進(甲亢)可能導致心臟肥大。 甲亢時,甲狀腺激素分泌過多,會使心臟加速、增強收縮,長期下來可能造成心臟負擔過重,進而導致心臟肥大,甚至心臟衰竭。
陳裕峰進一步解釋,甲狀腺腫瘤和心臟肥大關係密切,甲狀腺腫瘤特別是甲狀腺功能亢進症,會導致甲狀腺激素分泌過多,這種情況下,身體新陳代謝會加速,心跳也會加快。甲狀腺腫瘤也可能導致甲狀腺結節,這些結節有些可能是良性的,有些則可能是惡性的,需要進一步檢查和評估。此外,甲亢會使心臟過度工作,導致心跳加速、心律不整等問題,長期下來,心臟的負擔加重,可能導致心臟肥大。如果甲亢沒有得到及時控制,還可能引發心臟衰竭。
(相關報導:
政府給付民眾戒紙菸不管新興菸品 醫師被迫「自由心證」開藥
|
更多文章
)
陳裕峰強調,心臟肥大表示心臟肌肉增厚,可能導致心悸、呼吸困難、運動不耐受等症狀。嚴重的心臟肥大可能導致心臟衰竭,危及生命,千萬不要輕忽。
重磅推出!《風傳媒》全新數位專題《解密報告》 本次主題《誰吃了光電大餅》將鏡頭對準這幾年快速蔓延的太陽能產業 獨家揭密你從未真正看清的光電發展弊端☛立即瀏覽
更多新聞請搜尋🔍風傳媒
目前贊助金額 NT. 38.02K
想要一起表達支持這篇文章?
贊助文章
作者每月有 218 杯咖啡贊助
加入鼓勵作者持續地創作?
請杯咖啡
更多文章
被朱元璋要求算明朝國運!神算劉伯溫只說出「4個字」,200年後全部應驗 明太祖朱元璋在建立大明王朝後,內心始終充滿了對功臣的戒備。深諳「狡兔死,走狗烹」道理的謀臣劉伯溫,曾試圖辭官遠離這場權力風暴,卻被朱元璋留下並要求預測明朝國運。劉伯溫巧妙地以「萬子萬孫」四字回應,這句表面上吉祥的祝詞,實則暗藏玄機,精準預言了明朝的衰亡。朱元璋的猜忌:功臣的末路朱元璋在坐穩江山後,心中並不安穩。他既享受至高無上的皇權,又憂心曾與他出生入死的功......
中國「低價」殺到大本營了!他們偷師1方法反擊,直接少30%成本迎戰 在中國車廠於東南亞攻城掠地之際,日本汽車品牌正加快供應鏈調整,以守住多年建立的市場優勢。豐田汽車計畫在泰國生產的新一代電動車,將引入更多中國製零件,藉此壓低成本,應對日益激烈的價格競爭。豐田啟動泰國零件採購轉型根據日媒《日經亞洲》(Nikkei Asia)引述知情人士指出,豐田已推動泰國主要零件供應商Summit Group與中國蕪湖粵飛吸音新材料有限公司合......
不是0050、00919!「這檔ETF」除息前爆出歷史天量,2大原因散戶搶著買 台股今(15)日捲起高股息ETF熱潮!在國泰永續高股息(00878)、FT臺灣永續高息(00961)、富邦特選高股息30(00900)等多檔明星級高股息ETF除息前最後買進日效應催化下,散戶資金如潮水般湧入,引爆一波史無前例的搶購狂潮。這場「除息末班車」大戲不僅為8月除息旺季拉開華麗序幕,更徹底洗牌台股ETF成交量排行榜,讓市場見識到高股息商品的超強吸金魅力......
北京觀察》抗戰紀念變外交戰場!北京罕見將「台灣問題」納入對日本譴責 今天是日本戰敗八十週年紀念日,中國各地都紛紛舉辦了相關紀念活動。黨媒《人民日報》在今天三版醒目位置刊登署名鐘聲(集體筆名,中南海的聲音)文章「堅持正確歷史觀,才是對歷史、對人民、對未來負責」,文章稱「一段時間以來,日本一些政客在台灣問題上屢屢越界。」日本不久前公佈的2025年版《防衛白皮書》,再次大肆渲染「中國威脅」並在台灣問題上指手畫腳。除《人民日報》外,......
2026高雄市長選舉民進黨會派誰?吳子嘉點名「他」資歷淺但很多大老支持 民進黨2026高雄市長初選已悄然開打,立委林岱樺、賴瑞隆、許智傑與邱議瑩等人皆表態參選,競爭相當激烈,其中,林岱樺雖有意角逐,但因涉詐領助理費遭起訴,形象受挫,未料日前又被周刊爆料,指她與高雄通法寺住持釋煌智來往密切,私下關係超乎一般交情,甚至曝光兩人疑似曖昧訊息,引發外界關注。對此,美麗島電子報董事長吳子嘉點名目前勝算最大的人選,並指這號人物「擁有大老們支......
台塑集團人事調整!南亞董座吳嘉昭升任行政中心總裁 王文淵下一步布局曝光 台塑企業今(15)日宣布人事新局,南亞董事長吳嘉昭升任行政中心總裁,接下集團總裁王文淵原兼任的職務,全面落實台塑企業長期推動的分治傳承治理模式,讓專業經理人主導日常經營,創辦人家族則專注於長期策略與監督。台塑企業自2001年起,依據兩位創辦人倡議,建立「行政中心」與「管理中心」的雙軌治理架構。「行政中心」由台塑、南亞、台化、台塑石化四大公司及河靜鋼鐵公司最高......
住雙北要不要買車?他不解「同事生3個都沒買」,過來人曝2大原因:不如搭計程車 汽機車是許多人平常通勤的工具,一名網友在PTT發文表示,常聽別人說住雙北不用買車,同事家有3個小孩在,在台北生活幾十年也是沒買車,不禁好奇詢問「現在就連costco也是Uber就可以叫到家,聰明的就懂?」貼文曝光後,引發兩派網友熱烈討論。住雙北要不要買車?兩派網友吵翻天一名網友在PTT發文表示,常聽別人說住雙北不用買車,同事家裡有三個小孩,在台北生活幾十年也......
硬槓美國關稅到底?莫迪獨立日高喊「印度製造」自給自足,誓言捍衛農民利益不受外國欺負 印度總理莫迪(Narendra Modi)在獨立79週年慶典上,一口氣發表長達103分鐘的演說,告訴全體國民,印度未來將邁向更高程度的自給自足,從化肥到噴射引擎、電動車電池都要自行生產,力推「印度製造」強化自身經濟體質,雖然莫迪在演說中,並未直接提及川普(Donald Trump)或美國關稅,但他仍多次表態、絕對會保護自家農民的利益。莫迪藉由印度獨立日(8......
退休二度就業可以做什麼工作?調查曝熱門高薪行業不限年齡,很多人穩做到80歲 88歲的哈維‧門德爾森(Harvey Mendelson)一生都在不斷「重塑自我」。從股票經紀人、房地產商到汽車銷售,他換過無數跑道,甚至創立過幾家公司。如今,年近九旬的他,正沉浸在新的熱情「攝影」之中。門德爾森目前在加州一間劇院經營攝影藝廊和數位印刷公司,他在此展示自己的作品,也為劇院製作文宣。他向《商業內幕》透露,這份工作收入不高,但他早已無債一身輕,......
為何有的人特別會聊天?專家曝掌握1簡單技巧!人際關係不好也難 編按:想與家人或伴侶展開深度對話,關鍵不在於詢問「結果」,而是引導對方表達「感受」。許多人關心孩子或另一半時,總以成績、行程、吃飯等有標準答案的問題開場,導致對話很快結束。專家建議,將提問聚焦於情緒、心情與想法,例如「考試時有什麼感覺?」、「什麼時候讓你最開心?」不僅能延續交流,也能讓彼此感受到真切的關愛,建立更親密、更溫暖的人際連結。先問「感受」而不是「結......
象徵沒有忘記二戰與苦難 澳洲第一座華人版「慰安婦」銅像在墨爾本揭幕 前總統馬英九藉由本週五是抗戰勝利八十週年的機會,特別在臉書上強調,8月14日也是國際「慰安婦」紀念日。而原本應該出現在臺南市,也是全臺唯一一座慰安婦紀念銅像前,追思這段傷痛的歷史的他,卻為了因應楊柳颱風可能對臺南的影響,以及人員的安全,因此將原本的紀念儀式取消。不過馬英九也強調,「我特別在此發文,追思這段令人傷痛的歷史」。而在太平洋的另一側,在上百位人士的......
北京觀察》川普承諾「全力營救」!黎智英恐「被判即死」,國際施壓能否改判? 黎智英案在2023年底開審,法官去年7月裁定表面證據成立,案件同年11月續審。案件的控辯雙方今年3月初完成舉證,案件定於8月結案陳詞,但因香港惡劣天氣而擱置繼續審判,預計將在今天公佈結果。週四當天,大批媒體前往香港西九龍裁判法院外排隊等候入內聽審。此外,香港特區政府週三(13日)晚上發表近1,500字響應,指包括反華傳媒在內的外部勢力就黎智英國安案以及其獄中......
聯邦政府大軍助改善治安 華府市長竟為「接小孩」請假到外州 華盛頓特區市長穆里爾.鮑澤(Muriel Bowser)在川普總統下令聯邦政府接管首都警務的敏感時刻,選擇前往麻薩諸塞州瑪莎葡萄園島(Martha's Vineyard)度假,此舉引發前國會警察局長史蒂文.桑德(Steven Sund)等人士的強烈批評。鮑澤辦公室14日正式證實市長的度假行程,稱此行是處理「家庭事務」。這項決定做出的時間點格外敏感,就在數日前......
雲林4人小公司驚豔AI市場!新開發1技術「搶下400台訂單」,東南亞業者都在問 不只無人機、無人車受到全球關注,台灣雲林也出現高科技裝備「無人養殖船」,去年推出就成功銷售20台,今年改版輕量型接單暴增至100台,甚至還有400台在手訂單,成為另類台灣之光。雲林4人小公司開發AI無人養殖船根據《CTWANT》報導,50歲的許宏德曾在台中漢翔航空負責軍機零件工程十餘年,2022年為了老父返鄉,轉向漁業設備研發並創立豐漁水產養殖公司,開始將無......
排水孔全封住還是出現蟑螂!環保署教3招快速有效,小強爬過當場陣亡 近日有民眾表示,他住在15樓樓,過去一個月內兩次在廚房門口目擊「超大蟑螂」現身,無法理解蟑螂到底是怎麼爬這麼高的?該民眾進一步提到,廚房空間直接連接陽台且無排水孔,但陽台排水口已進行封堵,理論上不會出現蟑螂才對,因此上網發文求助大家。排水孔全封住還是出現蟑螂貼文一出後引發網友熱烈討論,「我家紗門會有一點點縫(因為老舊)半夜蟑螂鑽過我家木門底部在鑽過紗網剛好兩......
不是醫生、律師!大學生夢幻職業第一名是「它」:起薪高、獎金誘人,不怕被職場淘汰 114學年度大學分發放榜,錄取率達96.34%,但各學群的招生狀況卻呈現兩極化。根據數據顯示,藝術學群與跨領域學群的缺額率最高,分別為18.06%和10.87%;而工程學群、資訊學群、財經與法政學群的缺額率均不到3%,顯示大學新鮮人在選填志願時,已將未來職涯發展納入考量。新鮮人夢幻職業出爐!工程師、公務員、YouTuber、精算師最熱門根據1111人力銀行調......
台灣薪貧現象惡化?5成上班族淪「月底吃土族」 副業恐成抗漲新常態 台灣上班族在承受物價高漲與薪資停滯的雙重壓力下,許多人荷包越來越緊。yes123求職網最新「勞工抗通膨與斜槓族搶錢調查」顯示,高達91%的受訪者坦言收入不足以支付生活所需,其中51%自嘲成為「月底吃土族」,更有30.3%必須依靠借貸維持日常。上班族都成「薪貧族」?調查數據指出,即便是不屬於「月底吃土族」的上班族,每月平均也只能存下約8743元,整體而言,勞工......
北京觀察》中國西南邊境築起「鋼鐵長城」?新藏鐵路開工,中印地緣政治衝突新變化 中國國家鐵路局集團有限公司(即「國鐵集團」)在本月初成立了「新藏鐵路」公司,該工程建設與近期大陸交通運輸部發布的《加快建設交通強國重大工程和重大項目(2025年版)》一致,屬於中國大陸開工的又一大基建工程。該計畫其意義更像是中國在西南邊境地區建立起的一道新的戰略「堡壘」。新藏鐵路有限公司成立日期為2025年8月7日,中國國家鐵路集團有限公司為新藏鐵路有限公司......
「親家」注音不是念ㄑ一ㄣ,99%的人都念錯!教育部揭正確讀音 許多中文詞彙在日常中習慣的讀音,其實和教育部辭典規定的讀音大不相同,讓許多人知道正確讀音之後為之驚訝。你知道「親家」、「高麗菜」、「蛤蜊」正確的讀音應該是什麼嗎?根據《教育部國語辭典簡編本》,「親家」的讀音有兩種,分別是「ㄑㄧㄥˋ ㄐㄧㄚ」、「ㄑㄧㄥˋ ˙ㄐㄧㄚ」,「親」字皆為四聲發音,「家」則有一聲、輕聲兩種。但根據《教育部重編國語辭典修訂本》,親家則只有......
父母過世留下上億財產,小心鉅額遺產稅、贈與稅找上門!專家教1招,合法省下百萬稅金 傳統的台灣長輩觀念,總會覺得房子不能留有債務,盡可能留更多現金存款給後代,這樣才是愛的表現,未來才不會有債留子孫的疑慮或者被親戚說閒話。但其實這是嚴重的錯誤觀念,在稅務上會很吃虧,專欄讀者今天這篇文章或許可以詳細記起來,對於未來會很有幫助。假如現在有A、B、C三個好朋友聊天,家境都還不錯,A家中身價不錯,可能長輩是做市場傳統小生意,都現金存款居多,平常也沒涉......
「中華民國領導抗日勝利!」邱垂正:中華人民共和國當時根本不存在 今天是第二次世界大戰終戰80週年紀念日,陸委會主委邱垂正表示,二次世界大戰是中華民國政府領導奮戰,在對日抗戰期間,中華人民共和國根本不存在。邱垂正強調,中共政權聲稱對日抗戰是共產黨領導,更據此虛構台灣歸屬於中華人民共和國,這是混淆國際認知。
邱垂正今日發布錄影,回應第二次世界大戰終戰80週年。
......
兩星期財富暴漲90億美元?軟銀孫正義抓準AI熱潮上對車,躍居日本第二大富豪 日本軟銀集團(SoftBank)創辦人孫正義(Masayoshi Son)靠著精準押注人工智慧(AI),不僅讓公司股價推升並創下歷史新高,甚至讓自己的身家財富,在8月份前兩星期內,大舉增加90億美元(約新台幣2699億元)。讓這位知名的科技大亨,在經歷多年動盪後,手中財富數字終於再次呈現明顯回升趨勢。根據《彭博億萬富豪指數》(Bloomberg Billio......
共和黨棄打「台灣牌」?川普早鎖定「他」成溝通橋樑 政府恐被邊緣化 美國權威期刊《外交家》(The Diplomat)近日刊文,點出共和黨在新右翼勢力與對中貿易策略的影響下,對台政策正悄悄轉向。對此,旅美政治學者翁履中分析,川普與共和黨某種程度上已「看破」台灣局勢,與其花時間與台灣政府接觸,不如直接與關鍵企業交流,尤其是抓住台積電這類具國際影響力的企業進行互動。
台美關係「大不如前」?
翁履中13日在YouTube頻道......
以色列財政部長推進約旦河西岸E1計畫 宣稱將徹底埋葬巴勒斯坦國理念 以色列財政部長、極右派政壇人物莫特里赫(Bezalel
Smotrich)14日宣布,位於被占領約旦河西岸的爭議性屯墾區「E1計畫」將如期推進,預計本月下旬獲得最終批准。此舉引發巴勒斯坦自治政府、阿拉伯國家以及多國人權組織強烈反彈,指控以色列意圖徹底切斷巴勒斯坦國土連接、摧毀建國基礎。E1開發案位於耶路撒冷以東,地理位置敏感,被視為連接西岸兩大巴勒斯坦城市......
南橫墜谷父為救家人喪命!保險公司竟因1原因意外險不賠,400萬理賠金恐下不來 南台灣日前發生嚴重家屬傷痛事故,高雄市桃源區一戶人家7月30日晚間行經南橫公路時,因大雨導致土石流與道路坍方,整輛車失控墜落深谷。駕駛李姓男子在車禍後奮力三度爬出坑洞求救,但為了救困車內的家人又多次返回險境,最終人車一同墜落。此次意外造成一家六口中,兩人罹難、三人下落不明,僅14歲次子因留在家中逃過一劫。南橫墜谷父為救家人喪命!保險公司竟因1原因意外險不賠......
日本參政黨黨魁神谷宗幣參拜靖國神社 「否認侵略中國、日本只是自衛」舊言論被曝光 日本參議院大選期間,靠著「日本人優先」的口號,不僅成功打響政黨知名度,也讓自己順利踏入國會的參政黨黨代表神谷宗幣(Munetaka Kamiya),在日本第二次世界大戰投降80週年(終戰80週年)這一天,帶著同黨議員、一同參拜充滿諸多歷史爭議的靖國神社(Yasukuni Shrine)。参政党・神谷代表らが靖国参拝 中国への侵略については答えずhttps:/......
台灣「1縣市」招不到老師!有萬元加給仍沒人要來,校長坦言:年輕人覺得現在學生太難教 開學在即,台東縣的國高中卻面臨嚴峻的「招師荒」。其中,位於離島的蘭嶼高中開出高中數學科正式教師職缺,卻無人報名,轉招代理教師也已進入第三階段,情況令人擔憂。根據《自由時報》報導,這種現象不僅出現在偏遠地區,連市區學校也同樣面臨師資短缺困境。蘭嶼高中開缺無人報到,校長感嘆「來教書要有愛」報導指出,蘭嶼高中校長連紋乾說,交通不便與環境特殊是許多老師卻步的主因。此......
夫替罹癌妻辭職養病!1舉動「秒丟210萬勞保補助」保費全浪費,多數勞工都做錯 在面對自己或家人突發重病時,許多勞工的第一反應是辭職專心照顧,但這個看似合理的選擇,卻可能瞬間切斷所有勞保保障,讓多年繳納的保費與給付資格歸零。勞保專家提醒,辭職與退保的後果,遠比多數人想像中嚴重。生病了趕緊保住勞保資格!先請假別急著辭職勞保專家張秘書,曾在Youtube頻道「勞工朋友的秘書~張秘書」上分享,曾有一名勞工為了照顧罹癌的妻子,直接致電妻子的公司......
看到1種電話快掛斷!最新詐騙掏空3000多萬積蓄「房產被偷偷賣掉」,戶頭空了才知道被騙 花蓮發生一起嚴重的詐騙案件,一名林姓婦人誤信假冒檢警的詐騙集團,不僅千萬積蓄被騙光,連名下的房產也被抵押變賣,總損失慘重。警方循線逮捕包含詐團幹部、車手、代書、金主等在內的 18 名嫌犯,並呼籲民眾務必提高警覺,切勿輕信來路不明的電話與通訊軟體訊息。千萬積蓄與房產一夕蒸發!從電話到 LINE 步步設陷警方調查,這名林姓婦人接到一通自稱是新北市戶政事務所人員的......
挑戰常春藤名校的申請訣竅:UPenn雙主修學長的實戰筆記 在即將播出的〈Two Money Lovers Podcast〉EP126 中,我們邀請到現就讀於常春藤盟校賓夕法尼亞大學(University of Pennsylvania)電腦科學(CS)與電機工程(EE)的 Rick Lin(林承詣),分享他申請常春藤名校的第一手經驗:如何在成績之外,用「深度」與「影響力」把個人故事講到位,讓招生官看見您與世界的連結......
賴清德紀念二戰未提抗日 洪秀柱對上陸委會:呼籲愛國民眾參加各地紀念活動 今年是日本宣布無條件投降、世界反法西斯戰爭與中國抗日戰爭勝利的第80周年;馬辦今(15)日發出聲明表示,總統賴清德的紀念文隻字不提抗日,還刻意美化日本當年作為,這是媚日、切割歷史,也愧對自己身為中華民國總統;前主席洪秀柱也在臉書貼文,針對陸委會聲明不得參與中國任何抗戰紀年活動,她表示,呼籲全體愛國民眾,踴躍參加紀念活動,不論是在台北、在高雄,還是在任何有紀念......
賴清德提「終戰」教育部字典查不到 沈政男揭背後史觀:這是親日台獨說法 今(15)日是第二次世界大戰終戰日,也是中華民國對日抗戰勝利日,不過總統賴清德臉書發文中僅提到終戰,並未提及抗戰。對此,時常批判時事的醫師沈政男表示,賴清德紀念二戰「終戰」80年,全篇沒有提到「抗戰」2字,這是前總統蔡英文起頭的民進黨史觀,陳水扁時代曾提過「抗戰」2字;但蔡英文沒有講過「終戰」,是賴清德開始使用,因為這是親日台獨史觀的說法,蔡英文是親美,對日......
外交新資產!林佳龍回顧昔日推動這件事:讓世界看見台灣科技實力 人工智慧(AI)近年成為各行各業顯學,打造智慧城市更成地方政府施政目標之一。曾任台中市長的現任外交部長林佳龍,日前接受《財訊》社長謝金河邀請,出席「2025智慧城市新經濟力論壇」擔任頒獎人,並就「永續×AI打造幸福智慧城」的主題,分享他的觀點。林佳龍說,台灣智慧城市經驗,從地方實踐到中央政策,不僅為台灣科技發展奠下堅實基礎,更成為國家外交最寶貴的資產。林佳......
超過5000部援烏星鏈設備竟送到俄占區 USAID沒能有效追蹤一問三不知挨批 美國國際開發總署(USAID)內部監察機構於8月11日發布的一份調查報告揭露,該機構未能有效追蹤運送至烏克蘭的5175部星鏈(Starlink)衛星網路終端機的具體去向和使用情況。報告指出,這批由伊隆.馬斯克(Elon
Musk)旗下SpaceX公司提供的通訊設備中,近半數的運作中終端機最終出現在俄羅斯全面或部分占領的烏克蘭領土上。USAID監察長在這份由......
「台積電供應商」大火釀1死!全面停工慘了…一堆大廠沒貨可以用恐斷鏈 日本半導體材料龍頭「關東電化」位於群馬縣的三氟化氮(NF₃)生產廠區上週發生火災,造成1人死亡、1人重傷。由於該公司掌握日本近九成NF₃市場,且為台積電、三星、美光等國際大廠的重要供應商,市場對供應鏈衝擊高度關注。關東電化群馬廠火警釀1死1重傷綜合外媒報導,該廠兩條生產線中有一條在火警中全毀,當局已勒令全面停工。內部評估顯示,修復損毀設備並恢復安全生產可能需......
川普關稅推升物價明顯跡象!7月PPI創3年新高 專家:通膨正滲透經濟 美國勞工部勞動統計局(BLS)於14日公布,7月生產者物價指數(PPI)年增率達3.3%,不僅高於6月的2.4%與市場預估的2.5%,更創下3年來最大漲幅,也是今(2025)年2月以來最高數字。對此,分析認為,這是迄今最明顯顯示川普政府新一輪關稅措施推高物價的訊號。為何PPI上升與關稅有關?根據數據顯示,PPI反映上游生產成本變動,儘管美國消費者物價增幅仍屬......
股市一路飆漲,真的都沒問題?大摩、高盛示警,投資人可能忽略了這些風險 自從擺脫4月關稅震撼後,以美國為首的全球主要股市一路衝高,即便偶有拉回修正,卻總是可以化險為夷。儘管市場展現出令人訝異的韌性,但摩根士丹利示警,投資人恐怕忽略了至少三項關鍵風險;高盛內部的參考指標也亮出紅燈,股市恐將回落。摩根士丹利財富管理首席投資長Lisa Shallet在最新一期的全球投資委員會週報撰文表示,短短四個月內,投資人就從恐懼轉向樂觀,經濟展望......
限貸令也打到它!全台法拍量下探歷史新低,專家提醒市場恐有變局 中央銀行近期打房令全台買氣重挫,這波房市寒流也波及法拍市場。住商機構彙整內政部統計,全台上半年拍賣移轉棟數僅1516棟,創下自2003年有統計以來歷史同期新低。
大家房屋企劃研究室公關主任賴志昶分析,由於淪落法拍房產風險性較高,容易受到貸款條件限縮,加上整體市場買氣趨冷,致使法拍市場成交量萎縮,成為這波限貸令重災區。
買方找嘸甜甜價
根據資料顯示,上半......
中國律師為何闖台灣法庭?劉蓉芳背景、僱傭關係一次看 遭控違法緊急離境 台中地檢署近日偵辦一起跨國民事訴訟爭議,中國籍律師劉蓉芳被控在台灣無照從事律師業務,檢方在 14 日傳訊後請回,未限制出境,劉於 15 日已離境,全國律師聯合會(全律會)確認,他未具台灣律師資格,卻以「公司法務」名義嘗試擔任訴訟代理人,將依法告發違反《律師法》第127條。
案件源自哪起民事糾紛?
這起爭議起因於台灣自行車零件商宥博公司,向奧地利 Baren ......
【試駕】Audi S5 Avant,滿足空間需求和激起你的熱血魂! 會選旅行車除有空間需求外,另一追求的是就是操控,先前我們已試駕的新世代A5 150kW車型,204hp馬力雖已綽綽有餘,但就是少了點性能味,然而S5 Avant的動力、懸吊設定與quattro各方面都滿足了所有仍保有熱血喜愛操控爸爸們的需求。當步入家庭或有空間需求但又不想捨棄操控,最理想當狀態當然就是準備不同車型來對應需求,但現實生活不見得能允許,因此擁有空......
日本歷史學者:日本政府不願為所犯下的二戰戰爭罪行負責 今年的8月15日是第二次世界大戰結束80週年、也是中華民國抗戰勝利80週年,但對於戰爭中日本政府所應該具體承擔的責任,各界仍有不同的看法。一位日本歷史學者坦言,日本政府擔憂世界各地樹立的「和平少女銅像」(象徵對慰安婦的紀念)的原因,是因為日本政府「不願為日本所犯下的任何戰爭罪行承擔責任」。一位日本學者的反思澳洲廣播公司(ABC)報導,現居澳洲墨爾本的日本歷史......
不是裕隆!若汽車零關稅最大受害者是「這車商」,專家點名它才是海嘯第一排 美國製汽車降關稅議題近來引爆台灣車市及投資圈熱烈討論,這場改革不僅是進口價格改變,更是攸關全台汽車產業結構、品牌版圖與投資布局的大洗牌。你以為國產車龍頭裕隆會首當其衝?專業分析卻指出,更危險的反而是國瑞汽車!關稅談判白熱化:零關稅美規車可能成形行政院副院長鄭麗君近期明確表示,「美規車開放進口」是台美關稅談判的核心重點,美國車低關稅甚至零關稅進口台灣的可能性愈......