首頁 新聞 陽明交大合作台大兒童醫院 開發罕病「FOXG1症候群」預測新技術
陽明交大合作台大兒童醫院 開發罕病「FOXG1症候群」預測新技術 陽明交大與台大兒童醫院開發罕病預測技術,陽明交大團隊合影。(陽明交大提供)
提早診斷胎兒可能罹患的罕見疾病,是每一對父母最深的期盼。現在,陽明交大與台大兒童醫院開發一項預測罕病FOXG1症候群嚴重程度的檢測流程,為全球相關家庭帶來希望。
FOXG1症候群是一種罕見的神經發展疾病,症狀表現多樣,從嚴重的癲癇、運動障礙、進食困難與智能發展遲緩,到較輕微的自閉症皆可見。患者通常無法言語與行走,且臨床嚴重度因人而異。
其病因為FOXG1基因突變所導致,早期被稱為非典型的雷特氏症(Rett syndrome),每3萬名新生兒會有1人罹患此罕見疾病,目前全球患者約有1200人。FOXG1基因在胎兒大腦早期發育扮演關鍵角色,一旦發生突變將可能導致大腦發育異常。
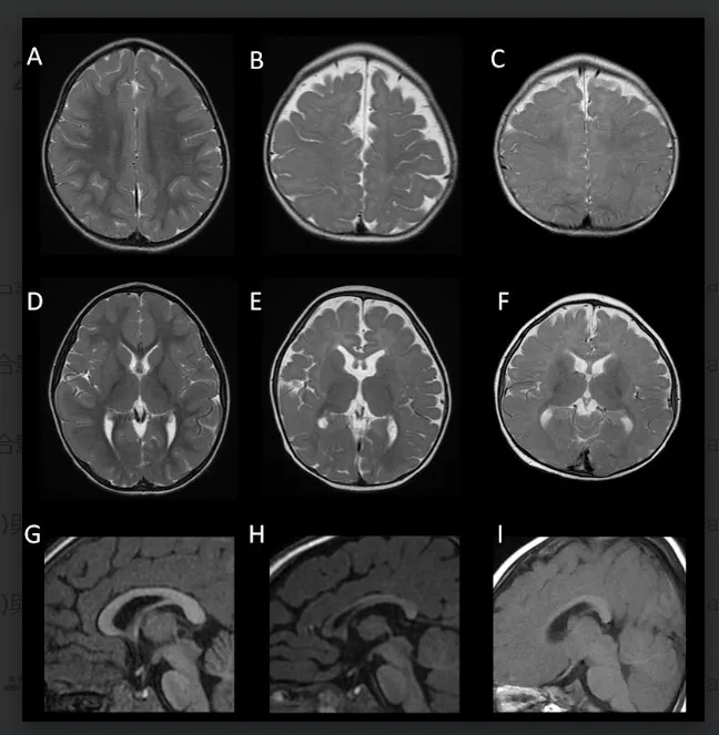
FOXG1症候群的腦部磁振造影。(陽明交大提供)
雖然目前已有次世代基因定序來檢測FOXG1變異,但FOXG1的不同變異位點所造成的病情嚴重程度也十分迥異,不僅父母因資訊不足而焦慮無助,醫師也難以判斷是否該介入治療。
陽明交大腦科學研究所蔡金吾特聘教授與台大兒童醫院院長李旺祚醫師,分析來自歐洲、北美、日本與台灣等國共14名FOXG1症候群患者的臨床症狀與腦部影像資料,建立一項結合實驗室功能檢測的創新流程,包含蛋白表現分析、基因調控測試與小鼠胚胎細胞遷移實驗3種方式,成功預測超過9成病患腦部異常的嚴重程度。這項突破刊登在國際權威期刊《Molecular Psychiatry》(分子精神醫學)。
「這種方法讓醫師不只是知道有突變存在,更能理解其實際危險性,」蔡金吾表示,「這是首次我們能夠評估特定FOXG1基因突變的致病性,並預測病人的不同嚴重程度—這對受到這類疾病影響的孩童與家庭來說是關鍵的一步。」
蔡金吾教授(右)與台大兒醫院長李旺祚(中)討論罕病檢測。(陽明交大提供)
「罕見疾病往往讓家庭充滿疑問卻找不到答案,」李旺祚表示,他 們希望這項診斷工具能夠縮短這段資訊落差。若能在產前或新生兒階段透過次世代定序技術及早準確預測疾病嚴重性,就能幫助規劃後續的介入策略,並更好地支持受此嚴重疾病影響的兒童與家庭。
更多新聞請搜尋🔍風傳媒
目前贊助金額 NT. 38.02K
想要一起表達支持這篇文章?
贊助文章
作者每月有 218 杯咖啡贊助
加入鼓勵作者持續地創作?
請杯咖啡
更多文章
伊朗駐聯合國大使上美媒表態 嗆明不停止提煉鈾、不會「無條件投降」 伊朗駐聯合國大使阿米爾.薩伊德.伊拉瓦尼(Amir Saeid Iravani)於6月29日接受CBS新聞台《面對全國》(Face the
Nation)節目專訪時,明確表態德黑蘭「永遠不會停止」提煉鈾活動,並強調這是伊朗根據《核不擴散條約》(NPT)所享有的不可剝奪權利。
伊拉瓦尼在訪談開始即援引伊朗在《核不擴散條約》下的法律地位。他表示:「你知道我......
曾大讚「海鯤號」 日本三星退役海將下周演說,將對國造潛艦提建言 我國造潛艦「海鯤號」6月26日實施第2次海上測試,並完成各系統海上動態組合驗證及艦船操控運轉能力,後續各階段海上測試更備受矚目。日本海上自衛隊退役三星海將、前潛水艦隊司令官矢野一樹曾大為稱讚「海鯤號」略優於日本潛艦,他下周一預定透過視訊在台北發表英文演說,屆時可能對台灣國造潛艦提出更多建言。7月7日(下周一),矢野一樹(以下簡稱矢野)預定以「對中抑止戰略上的......
賴清德團結十講連翻車3場 黃國昌提這句話「毛骨悚然」:當自己太上皇 民眾黨立委黃國昌今(30)日出席「反撕裂 反惡霸記者會」,批評「選前騙票、選後跳票」已經成為民進黨的註冊商標,認為賴清德國會選輸就發動大罷免,台灣民主走到今天已被送進加護病房。黃國昌表示,曾宣稱中華民國憲法是災難的賴清德,如今以團結為名行鬥爭之實的演講,真正的災難是他對於憲法的理解與詮釋,不只對歷史事實、觀念錯的一塌糊塗,連綠營內部人士都看不下去忍不住開炮,......
為癌友加油打氣!陶聲洋防癌基金會送萬份健康關懷包 陪伴走過治療低谷 根據衛生福利部國民健康署最新癌症登記報告,111年新發生癌症人數為13萬293人,罹癌人數不斷攀升,總統賴清德提出「健康台灣深耕計畫」,以2030年癌症標準化死亡率降低三分之一為目標,更進一步推出早期癌症篩檢、聚焦基因檢測與精準醫療,及建立百億癌症新藥基金的癌症治療3箭政策。陶聲洋防癌基金會響應「健康台灣」政策,用行動力挺所有抗癌鬥士,推出「1萬份愛.1萬個......
看臺東熱氣球別開車上山!在地人揭秘「聰明玩法」,騎YouBike省時又浪漫 想輕鬆玩轉萬眾矚目的「2025臺灣國際熱氣球嘉年華」,避開塞車與停車的煩惱嗎?臺東縣政府今年為您準備了最新的通關密技——YouBike公共自行車!透過在鹿野地區新增設的6處站點,遊客將能無縫接軌大眾運輸,用最環保、最從容的方式,展開一場獨特的熱氣球之旅。為了讓所有遊客都能享受便利,縣府規劃了兩種推薦玩法:【開車族玩法】:建議開車的民眾可將車輛停放在龍田大草坪......
2食物「從腦傷到腳」默默奪命!台灣人幾乎天天都在吃 在台灣,每年都有成千上萬的人因癌症、心臟病、腦中風、肺炎、糖尿病等疾病失去寶貴生命,令人意外的是,這些看似難以預防的重大疾病背後,其實往往有著相同的根源,而唯有從日常飲食開始改變,才能守住健康的第一道防線。慢性病幕後黑手「錯誤2飲食習慣」根據《國民營養健康狀況調查》顯示,台灣成年人每日平均鹽分攝取量達9到10克,超過建議量2倍以上,同時超過9成5的成年人蔬果......
臺北高溫橙色燈號!環保局發布熱浪通報,防熱傷害SOP懶人包 橙色高溫警報!臺北市於今(30)日發布今年首次熱浪通報,中央氣象署資訊顯示氣溫炎熱,市府已啟動相關應變機制。面對熱浪來襲,每一位市民的自我防護至關重要。北市環保局提出一份緊急應變指南,幫助您與家人平安度過高溫天氣。臺北盆地地形特殊,熱氣不易消散,加上全球暖化趨勢,極端高溫已成常態。當氣象署發布橙色燈號,即代表可能出現連續3天36度以上的高溫,對人體健康構成威......
PC市場要崩了!Windows用戶「3年消失4億台」微軟數據「掩飾說法」被看穿 微軟近日公開一份由行銷長梅赫迪(Yusuf Mehdi)撰寫的長篇部落格文章,表面主題是Windows 10即將終止支援,但其中一句「Windows目前每月有超過10億台活躍設備」的數據,卻意外揭開另一層意義:Windows用戶在三年間減少了4億台,外媒《ZDNet》分析,這波劇烈流失,並非蘋果Mac搶市造成,而是PC產業整體步入下坡。
Windows為何用......
自南國的邀請函!向日本旅人揭開山海面紗,邀您來趟衝浪與馬拉松的熱情之旅 在台灣最南端,有一片充滿陽光與故事的土地,正等著世界的旅人前來發掘。屏東,這顆南國的隱藏版珍珠,日前將其熱情與魅力直送日本,於神戶舉辦的觀光推廣會(Roadshow)上,向日本民眾揭開它神秘而多元的面紗,發出最誠摯的邀請。對於渴望新體驗的日本旅人而言,屏東端出的是一場感官與心靈的盛宴。在神戶Harborland Space Theater的活動現場,屏東攤位......
新鮮人期望薪資報多少?他揪2條件「開價65K」 見面試官臉垮超疑惑:太高了嗎 科技業一向以薪資待遇優渥著稱,但一名剛從電機工程研究所畢業的年輕人,近日到台北某知名科技大廠應徵基板管理控制器(BMC)職缺時,因提出期望月薪65K,卻讓面試官臉色瞬間凝重,並以審核期需兩週為由,請他回家等消息。學歷高地點貴 65K算高還是剛好?這名新鮮人將經面試經歷分享至Dcard,引發許多網友對「畢業生開多少才合理」熱烈討論。有不少網友認為,原PO擁有碩......
照顧家人離職回不去了!勞動部「兩把鑰匙」為她敲開職場大門,連雇主都喊讚 當「照顧責任」成為許多女性職涯道路上的暫停鍵,如何重啟引擎、順利回歸,便成了一項重要的社會課題。勞動部近年推動的「婦女再就業計畫」與「僱用獎助」,正是為此設計的雙軌解決方案。近期,雲嘉南地區的小麗女士,便透過這套政策的精準媒合,成功從家庭照顧者重返職場,她的故事,為這項雙贏政策寫下了最佳註解。一年前,為了照顧高齡行動不便的婆婆,在嬰幼兒用品門市服務長達13年......
爸媽記得領錢!新制7月上路,符合資格政府發「3萬元現金入帳」,申請方式時間曝光 高市府發放每胎新台幣3萬元生育津貼,7月1日起新制將申請資格從設籍高市滿1年縮為10個月,另為避免胎兒早產致設籍時間不足無法領取,增訂可依預產期推算設籍時間領取。爸媽記得領錢!7月1日起新制上路高雄市政府社會局今(30)日指出,市府為支持市民生育,減輕育兒負擔,發放生育津貼每胎新台幣3萬元,現行申請資格須設籍高市滿1年,但考量懷孕週期,縮短設籍時間為10個月......
北市民快存!超強「一站式洽公中心」啟用,辦稅務、跑戶政一棟搞定 還在為了洽辦不同業務,奔波於各個政府機關嗎?從今(30)日起,臺北市民將有更省時、便利的新選擇。隨著臺北市稅捐處總處及中正分處正式進駐南門市場大樓,一個結合了地方稅、國稅、戶政等多項業務的「一站式」市政服務中心正式啟用,未來洽公將能一棟搞定!此次稅捐處的搬遷,最大的亮點便是「合署辦公」帶來的便利性。這意味著民眾不僅可在此辦理地價稅、房屋稅、土增稅、牌照稅等地......
暑假約看電影、唱KTV?先看這份「空氣健檢報告」,結果讓人很放心! 暑假正式來臨,當年輕學子們準備結伴湧入電影院、KTV享受歡樂時光,臺北市環保局已提前扮演起「城市健康守護者」的角色,為這些熱門的室內娛樂場所完成了一次全面的呼吸健康檢查。環保局宣布,於今年5至6月執行的專案稽查中,轄內所有列管的電影院與KTV室內空氣品質全數符合標準,市民可以安心消費,在享受影音娛樂的同時,也擁有一份健康的呼吸權益。此次專案......
義守再獲NVIDIA指名合作夥伴 科技巨擘加持 肯定教育與產學能量充沛 義守大學連續兩年獲AI教父黃仁勳,點名為NVIDIA合作夥伴大學之一,充分肯定並彰顯義守大學在人工智慧領域的卓越成就與雄厚實力。自2018年以來,義守即前瞻性地佈局AI技術應用,透過四大策略主軸全面人工智慧的跨域整合與創新發展。在「AI × Education」方面,推動「X+AI」跨領域創新課程,將AI技術融入各專業領域,讓每位學生皆具備AI技術應用;在「......
爸媽過世留下的股票「遺產稅高達500萬元」!專家教1招,沒錢繳稅照樣能繼承 最近的台股忽漲忽跌,因為川普關稅戰短短3個月內,台積電跌至最低價780元,到今年最高價1080元,波動大已經是常態。因為房價高,股票可以買零股,ETF可以定期定額,台灣的朋友們股票和ETF在資產的占比越來越高。股票和ETF的價值波動較,可能會影響遺產的總價值和應繳納的遺產稅額,如果沒有足夠的現金用股票實物抵繳又會面對什麼問題?3大重點提醒你!陳老先生的遺產稅......
力挺賴清德!周玉蔻狂讚團結十講「效果超級好」:不懂台派學者在GY什麼 總統賴清德近日舉辦「國家團結十講」,從雜質說到台灣有無派人制憲等,場場都引發政治熱議。而媒體人周玉蔻對此在臉書發文直呼,賴清德目前的演講,政治傳播效果超級成功,更批評「不懂若干台派年輕學者和名嘴在挑三揀四GY什麼!」周玉蔻表示,賴清德目前的國家團結3講,讓生冷嚴肅主題形成熱議,「從政治傳播效果看,明明就是超級成功!不懂若干台派年輕學者和名嘴在挑三揀四GY什麼......
編織二十年綿密的網!花蓮縣府攜手「老家」協會,共築377處據點社會安全網 一場慶祝會,不只是一個在地社福團體的二十歲生日,更是花蓮「公私協力」社會安全網模式成功運作的成果縮影。社團法人老人暨家庭關懷協會(簡稱「老家」)於昨(29)日舉辦的二十週年感恩音樂會,溫馨的場面背後,揭示的正是政府與民間組織如何攜手,在花蓮獨特的地理環境中,為長者與弱勢家庭織起一張綿密的防護網。面對轄區遼闊、資源分散的挑戰,花蓮的長照服務走出......
台灣制憲代表未經普選不具代表性?鄭麗文舉美日制憲代表反駁總統府 總統賴清德於昨(29)日在新竹發表「團結國家十講」第三講,主題聚焦憲政體制以及七次修憲過程,並提及總統至國會報告以及大罷免解決民主紛爭。對此鄭麗文批評,賴清德通篇講話都在打自己的臉,證明賴清德不但錯誤百出、同時也是個說話不算話的總統。鄭麗文指出,作為曾經與賴清德共識參與修憲過程的國大代表,他非常遺憾的要指出賴清德認為台灣人民沒有參與中華民國憲法制定的過程,是......
7月新制懶人包!客家幣1000元全民都能登記、沒注意新規銀行錢領不出來 即將邁入七月,有多項新制將陸續上路,包括北市的免洗餐具將收費,還有線上申辦護照條件放寬,以及青春動滋券可兌換Youbike騎乘券、1000元客家幣開放申請。以下為您整理七月即將上線的各項新制,讓您提前掌握資訊不吃虧!七月新制補助類青春動滋券可兌換Youbike騎乘券動滋券發放對象及領取期限。(圖/取自動滋網)動滋券領取方式。(圖/取自教育部動滋網)教育部體育......
未來汽車隔熱紙「透光率有規範」!一不小心1800元就飛了,目前僅12品牌符合標準 許多台灣小客車為了防曬,習慣在擋風玻璃、車窗貼隔熱紙,但目前只有「計程車(含多元計程車)」有相關規範,而交通部近日發布全新「汽車車窗、擋風玻璃可見光透過率安全指引」,並公開12家符合標準的建議品牌、型號,計畫從明年起將新車納入法規管制。明年起新車隔熱紙將受管控交通部今(30)日發布全新「汽車車窗、擋風玻璃可見光透過率安全指引」,建議車輛貼隔熱紙時,前擋風玻璃......
Netflix砸300億元帶頭 美國這州強勢和好萊塢搶生意 沙丘、小丑都在這製作 曾是愛迪生發明電影攝影機、早期電影工業誕生地的新澤西州,如今正以全新姿態重返影視產業舞台。從梅莉.史翠普、傑克.尼克遜到麥可.B.喬丹等巨星的成長背景,到Netflix與獅門影業斥資上億美元建設攝影基地,這個「花園州」正在迅速蛻變為美國東岸影視製作的重要據點。目前,新澤西吸引的不僅是原創影視製作,也成為好萊塢大片的重要取景地。曾獲奧斯卡獎的電影《小丑》(Jo......
衣服、食品也快買不起?越來越多消費者「先買後付」,這是個經濟警訊嗎? 美國消費者越來越常使用「先買後付」(BNPL,Buy Now, Pay Later)的支付方式,這讓市場投資人開始擔心信用評等的準確性,以及消費者潛藏債務的風險。不是只有高價商品「先買後付」根據摩根士丹利在今年4月的調查顯示,超過四分之一的美國消費者曾經使用「先買後付」這種短期分期付款的方式購物,雖然仍在美國整體電商銷售中占比不高,但規模卻快速成長,從20......
台英3項貿易協議簽下去了!領域橫跨能源、投資與首度對外數位貿易 行政院經貿辦今(30)日表示,我國駐英國代表姚金祥與英國在台辦事處代表包瓊郁(Ruth Bradley-Jones),今日在台北正式簽署提升貿易夥伴關係(Enhanced Trade Partnership, ETP)3項領域協議,為台英雙邊經貿合作翻開嶄新的篇章。3項領域協議分別為《台英ETP數位貿易協議》、《台英ETP能源與淨零排放協議》、《台英ETP投......
狂買「2檔怪物級股票」未來10年贏別人!上榜的不只是台積電,另一個營收破4000億 買股票還在看漲跌?外媒直接點名兩家「怪物級」公司!最近投資圈掀起熱議,台積電和亞馬遜被視為未來十年的必買標的,AI浪潮下這兩家更是如虎添翼,前景一片看好。未來十年投資焦點,外媒點名台積電、亞馬遜美國投資媒體《The Motley Fool》分析師Geoffrey Seiler近日精選兩檔「怪物級」股票,認為未來十年值得持有,分別是台積電(TSMC)與亞馬遜(......
7月就會強勢上漲!這1資產價格有望翻倍 專家預言:獲利在買進那一刻已決定 以投資理財暢銷書《富爸爸,窮爸爸》聞名全球的作者羅伯特.清崎(Robert Kiyosaki)近日再度拋出震撼市場的預言。他指出,看好白銀在第三季將有亮眼表現,更直言7月可能出現大幅上漲行情,價格有望翻倍至每盎司70美元(約新台幣2035元),引發市場投資人高度關注。白銀風險低報酬高?清崎喊話「買進那刻就決定成敗」清崎在個人社群平台X上發文表示,白銀是目前最......
小米 YU7 電動 SUV 正式發表 最大續航 835 公里、三版本選擇、12 分鐘快速充電 小米汽車正式公布品牌第二款電動車 YU7 的售價與規格,這款全新純電 SUV 提供後驅、雙馬達四驅與高性能 AWD 三種版本,入門車型起價人民幣 253,500 元(約新台幣 113 萬元),主打長續航、高效空力設計與智慧座艙體驗。小米汽車正式公布品牌第二款電動車 YU7 的售價與規格,入門車型起價人民幣 253,500 元(約新台幣 113 萬元) 小米 ......
又講錯了?賴清德指「馬英九自稱區長」 黃暐瀚曝實情打臉:那是網路梗 總統賴清德昨(29)日進行「團結十講」的第三講時提到,2008年野草莓運動抗議海協會會長陳雲林訪台,所到之處中華民國國旗要拆掉,時任的總統馬英九自稱區長,不敢自稱總統。對此,媒體人黃暐瀚在今(30)日在廣播節目《POP撞新聞》質疑,自己以前在採訪時不記得有此事,馬英九並沒有自稱區長,是網路的人都笑馬英九是區長,不是馬英九自稱。賴清德昨日演講提到,台灣社會有......
電動駕馭不插電!Nissan 第三代 e‑POWER 歐洲登場 隨著全球車壇積極推進電氣化,不少品牌選擇純電、插電式油電雙軌佈局,Nissan 則持續深耕獨家 e‑POWER 技術。近日,Nissan 正式在歐洲發表第三代 e‑POWER 動力系統,主打「電動車駕馭感、不用插電」,為消費者提供一種更容易入手的電動化過渡選項。Nissan 正式在歐洲發表第三代 e‑POWER 動力系統 e‑POWER 最大的特點,在於車輛......
曝台灣制憲代表「民主先聲」也在列 陳智菡轟賴清德:為政治利益連台派先輩都遺忘 總統賴清德昨(29)日發表「團結國家十講」第三講,其中提到1946年通過的中華民國憲法「台灣沒有派員參加制憲大會」,此一論述被藍營秀出文獻打臉,其實當年台灣共有18人代表參與。對此,民眾黨團立院黨團主任陳智菡今(30)日發文轟,賴清德變造扭曲歷史,且當年台灣的18位代表中,台南縣的代表是這位黨外力量與新聞自由的重要推手,竟被滿口的愛台護台言論的賴清德給遺......
車越大、視野越小?美國研究揭露 25 年來 SUV 盲區問題惡化 隨著近年來車輛的尺碼越做越大、結構越來越厚重,駕駛座的安全確實提升了,但同時,車外的風險也逐漸增加。一項由美國交通部支持、並刊登於 SAE International Journal of Transportation Safety 的最新研究指出,現代車輛的前方盲區比 25 年前明顯變大,駕駛人實際能看見的路面範圍大幅縮水。美國交通部最新研究指出,現代車輛......
不走科技業還有哪一行賺得多?這些工作起薪都破5萬,年輕人搶翻了 104人力銀行近日罕見在周末召開記者會,揭示2025年職場10大就業趨勢,指出「高薪」工作已不再局限於傳統金融與科技產業,隨著人工智慧、健康產業與永續浪潮快速崛起,跨界技能人才炙手可熱。多項新興職缺起薪突破5萬元,部分甚至上看7萬元,顯示未來職場競爭力將高度依賴專業結合趨勢的複合能力。AI工程師、資料科學家搶手 起薪直奔7萬俱樂部根據104公布數據,AI應用......
打臉自己先前立場?中國海關總署突然宣布開放除了「這些地區」以外的日本水產品進口 負責主管進出口業務的中國海關總署,週日突然發布公告指出,中方「有條件」恢復了日本部分地區的水產品進口。不過,位於日本福島核災事故和鄰近地區的關東、東北10個都縣,包含福島縣、群馬縣、栃木縣、茨城縣、宮城縣、新潟縣、長野縣、埼玉縣、東京都、千葉縣等10個地區,被排除在開放的範圍外。中國海關總署29日的240號公告指出,由於對日本福島核污染水排海的長期國際監測,......
台積電領銜!外媒點名6檔股票:7月值得買 潛力黑馬是它「搭AI列車起飛」 在川普的政策助攻下,美國正迎來一波空前的投資熱潮,據《24/7 Wall Street》報導,目前已有超過5兆美元資金承諾投入各類產業。無論是國際科技巨頭還是潛力新秀,許多在海外設總部的企業,因產品或服務在美國市場需求強勁,將直接受惠於這股經濟復甦浪潮。報導盤點了6檔「7月值得關注的受惠股」,橫跨半導體、電商、製藥到原物料產業。台積電擴廠美國搶攻AI晶片商機......
記憶變差怎麼改善?醫生揭每天5分鐘「按摩2部位」,有效排毒防失智、90歲也有用 你是否常感覺腦袋卡卡、反應變慢,卻找不到明確原因?最新研究指出,這可能與「腦內廢物排不出去」有關。基因醫師張家銘指出,透過每天5分鐘的「1動作」,不僅能啟動腦脊髓液排毒通道,更有助改善「腦霧」與認知遲鈍。輕柔刺激臉和脖子,就能幫助清除腦內廢物基因醫師張家銘在臉書粉專指出,在門診常常會聽到病人說,「最近腦袋很不清楚」、「東西老是記不住」、「反應好慢,整個人像卡......
傳習近平失勢將下台!心腹接連消失 多個跡象「疑胡錦濤操盤」…接任者已出爐 中國國家主席習近平「掌權成就霸業」的野心眾所周知,也受到國際高度關注,加上近年來台海情勢相對緊繃,也讓這他的一舉一動成為焦點;中國北京對外經濟貿易大學商任教的史雷頓(Gregory W. Slayton)撰文指出,習近平疑似已經失勢、恐在8月下台,而這一切的操縱者不是別人,正是包含胡錦濤在內的中共元老。屢傳健康狀況不佳 習近平「心腹遭消失」史雷頓在《紐約郵報......
冷氣開24小時不關機最省電?內行實測「電費竟相差5倍」,台電教4招不怕帳單暴增 台灣今年夏天又熱出新高度,冷氣已經是不論上班上課或是在家都一定會開的電器,因此,如何省電也至關重要。一名網友日前在Threads發文分享,自己家裡沒有24小時開冷氣,兩個月電費7000元左右,朋友家開整天電費只落在1500-3000元,不禁直呼「電費整整差了4-5倍,真的很多人不關冷氣反而省電的嗎?」冷氣開24小時不關機最省電?內行實測「電費相差5倍」一......
有這1支股票的千萬注意!股價狂跌超過9成,公司宣布破產快淪壁紙 中國電動車價格戰越演越烈,引爆供應鏈危機。財信傳媒董事長謝金河日前指出,中國車廠比亞迪(BYD)降價策略不僅讓同業哀鴻遍野,連美國第三類半導體龍頭Wolfspeed也因市況急遽惡化宣布破產,留下高達65億美元債務,股價從142.14美元暴跌至0.82美元。這場由中國發動的電動車價格廝殺,正從整車廠延燒至材料端,對全球供應鏈構成劇烈衝擊。有這1支股票的千萬注意......
台幣狂升11%恐壓台積電獲利?專家點「1關鍵」助攻飆上1270元 國際政治經濟與軍事動盪不斷,中東以伊戰事再起,不過台股近期股價創新高或重返歷史高峰的族群不少,屬於強勢股中的強勢,包括半導體、網通、PCB、設備廠與製鞋類,都值得留意。文/方亞申一向軍事預測相當準的美國,3 年前就說俄羅斯要入侵烏克蘭;近期美伊談判破局後,美國先要求家屬撤離中東,接著以色列轟炸伊朗軍政目標。如今川普呼籲德黑蘭民眾盡速撤離,戰事是否進一步擴大,......
親弟淪共諜收錢、管據點!郭書瑤親曝「家中經濟狀況」判決出爐她這樣說 女星郭書瑤(瑤瑤)面對親弟郭伯廷涉入共諜案並遭判刑,引起社會震撼,台北地方法院30日對共諜案一審宣判,郭伯廷因協助組織運作、提供帳戶收受資金,違反《國家安全法》,遭判有期徒刑3年10月,對此,郭書瑤透過經紀公司回應:「一切交由相關單位處理,辛苦大家了。」她過去曾對此事表達無奈,甚至一度氣得與弟弟斷絕溝通。
郭伯廷為何涉入中國共諜案?
調查指出,郭伯廷捲入由扯......
國史館公開「兩蔣日記」!蔣經國嘆二二八事件:政治是不留情的 國史館今(30)日說,已公開第6批兩蔣日記數位檔供外界使用,其中在1938至1941年的「蔣中正日記」可看到歐戰爆發與美國參戰等記事;1947年「蔣經國日記」抄本有二二八事件記事,蔣經國提到,從台灣事件來看更證明「政治是不留情的」。蔣經國日記提二二八事件,嘆政治不留情國史館今日透過新聞稿指出,蔣中正總統、蔣經國總統日記(簡稱兩蔣日記)自2023年9月從美國史......
「外國人組團」偷爆知名服飾大牌!損失600萬真的虧太多,母公司喊告了 近年來,日本成為大量旅客首選,觀光熱潮帶動經濟成長的同時,也吸引不法分子趁機作亂,導致各地服飾、藥妝零售業頻頻遭竊,其中越南籍人士占比高達5至7成,連UNIQLO也深受其害。對此,UNIQLO母公司「迅銷(Fast Retailing)」日前宣布,將對涉案外籍竊賊提起民事訴訟,追討所有商品損失與相關費用。越南竊盜集團橫行日本!根據《產經新聞》報導,2024年......
轉機行李不見、壞掉怎麼辦?地勤曝1緊急處理關鍵!做錯恐求助無門 許多旅客在長途飛行時選擇需轉機的航班,轉機航班通常比直飛便宜,且許多航點台灣無法直飛,不過轉機的過程也讓行李託運問題成為旅途中不可忽視的風險。近期,任職於航空公司地您的旅遊KOL「克米&莉雅 x Fun飛之旅」在社群貼文中,針對轉機行李遺失、延誤或損壞的處理方式提出重要提醒,呼籲旅客務必掌握正確申報流程,以免權益受損。轉機行李不見、壞掉怎麼辦?地勤曝1緊急處......
柯南迷集合!7月4日起藏壽司X《名偵探柯南》20款獨家扭蛋驚喜登場! 柯南迷集合!「沉睡的記憶,即將甦醒!」深受全球粉絲喜愛的推理動畫《名偵探柯南》系列最新劇場版《名偵探柯南:獨眼的殘像》上映,掀起全民熱潮,再度喚起觀眾塵封已久的推理魂。本次藏壽司火力全開、不負粉絲期待,自7月4日起至7月17日限時14天,重磅聯名推出20款《名偵探柯南》獨家扭蛋,等著藏友們一同集結各個經典角色,轉出滿滿回憶!其中8款「名偵探柯南徽章」以202......
華爾街日報》一場比特幣的國家級豪賭:喜馬拉雅小國不丹如何靠比特幣挖礦加薪發財 喜馬拉雅山脈的小國不丹以其迷人的風景和國民幸福指數而聞名。最近,它又獲得了一個新稱號:加密貨幣先鋒。
根據加密貨幣平台Arkham的數據,不丹目前擁有價值13億美元的比特幣,約相當於該國國內生產總值(GDP)的40%。據Arkham的資訊,不丹政府的加密貨幣儲備規模在全球排名第三。
本文為風傳媒與華爾街日報正式合作授權轉載。加入VVIP會員請 ......
Switch 2上市與PS促銷來勢洶洶 微軟Xbox找上Meta助拳 隨著任天堂Switch 2創下銷售紀錄地上市熱賣,以及索尼PlayStation「Days of
Play」促銷活動讓主機大戰持續升溫,微軟宣布與Meta達成合作,推出支援Xbox Cloud Gaming的Meta Quest
3S特別套組,主打讓使用者在虛擬實境中體驗大型2D遊戲畫面,進一步拓展雲端遊戲的應用範圍,並鞏固其在跨平台遊戲服務上的領先地位......
沒有蹲式馬桶了?環境部擬推「全坐式公廁」!在外面上廁所前先做「2步驟」,不怕馬桶髒 你是否也曾有過這樣的經驗:出門在外,寧願忍尿也不願使用骯髒的公共廁所?在台灣,上公廁猶如「開盲盒」,總要做好心理準備才敢開門,公廁的整潔程度也常被視為一個國家是否先進的指標。為此,環境部日前與大安森林公園之友基金會舉行台日廁所趨勢交流研討會,專家們驚爆:蹲式馬桶的細菌量竟是坐式的164倍!面對這項驚人數據與民眾的抱怨,環境部近日修正「環境管理署補助公共廁所興......
好市多1商品「淘寶代購」比台灣便宜近半價!網友吵瘋:台灣人盤啊 美式賣場好市多自有品牌「科克蘭超細纖維擦拭布」近日引發熱議。有消費者發現,台灣官方網站售價為609元,但透過中國淘寶代購,含運僅需78.8人民幣(約新台幣320元),價差近一倍,讓不少網友直呼「台灣人就是盤」。好市多科克蘭擦拭布「用淘寶代購可半價」有網友在臉書社團「Costco好市多 商品經驗老實說」發文表示,「科克蘭超細纖維擦拭布」在台灣售價609元,但他......
川普、納坦雅胡成「戰犯」!伊朗對兩人發布追殺令 下令用「極刑」懲罰 伊朗最高什葉派大阿亞圖拉瑟拉茲(Naser Makarem Shirazi)於29日發布新一輪伊斯蘭教法令(fatwa),直指美國總統川普與以色列總理納坦雅胡為「對抗真主的戰犯」(mohareb),呼籲全球穆斯林對兩人施以極刑,包括斬手斷腳或十字架刑,以「捍衛伊斯蘭領袖與團結」。
伊朗動機為何與核衝突有關?過去教令造成過哪些惡果?
此教令發布時機正值美以聯手......
2025 GAIP保險創新競賽首度來臺舉辦 南山人壽獨家協辦臺灣場競賽 支持保險未來人才培育 全球科技及社經環境的快速變化,使得風險的樣貌及複雜性不斷提升,加深人們對於「保障」需求。為了更深刻掌握區域性風險及保險現況,全球亞洲保險合作夥伴組織(Global Asia Insurance Partnership,下簡稱GAIP)所舉辦的「GAIP保險創新競賽」今年首度跨出新加坡擴大舉辦,先在包含臺灣在內逾10個國家及地區舉辦競賽,再集結各地優勝隊伍於新......